
Elisa Lara. Cátedra de Anatomía e Imágenes Normales. Medicina, UNCo.
ESPACIOS
SUPRAMESOCÓLICOS
ESPACIO SUBFRÉNICO
IZQUIERDO:
Separado del derecho a
través del ligamento
falciforme.
1.- ESPACIO SUBFRÉNICO INMEDIATO:
- Localizado entre el diafragma y el fundus gástrico, incluye el
espacio anterior al segmento lateral del lóbulo hepático
izquierdo.
2.- ESPACIO PERIESPLÉNICO:
- Rodea al bazo, separado parcialmente de la gotera
parietocólica izquierda por el LFC, que contribuye a contener
los abscesos subfrénicos izquierdos.
3.- ESPACIO SUB-HEPÁTICO IZQUIERDO:
- Localizado entre el segmento lateral del LHI y el estómago.
ESPACIO PERIHEPÁTICO
DERECHO
1.- ESPACIO
SUBFRÉNICO
DERECHO:
Localizado entre la superficie hepática y
el diafragma, a la derecha del LF. Está
limitado posteriormente por la reflexión
superior del LCD y LTD, que lo separan
del espacio subhepático derecho.
2.- ESPACIO SUB-
HEPÁTICO DERECHO:
ANTERIOR: Situado inmediatamente
posterior a la porta hepatis y
comunicado con el saco menor a través
del foramen epiploico.
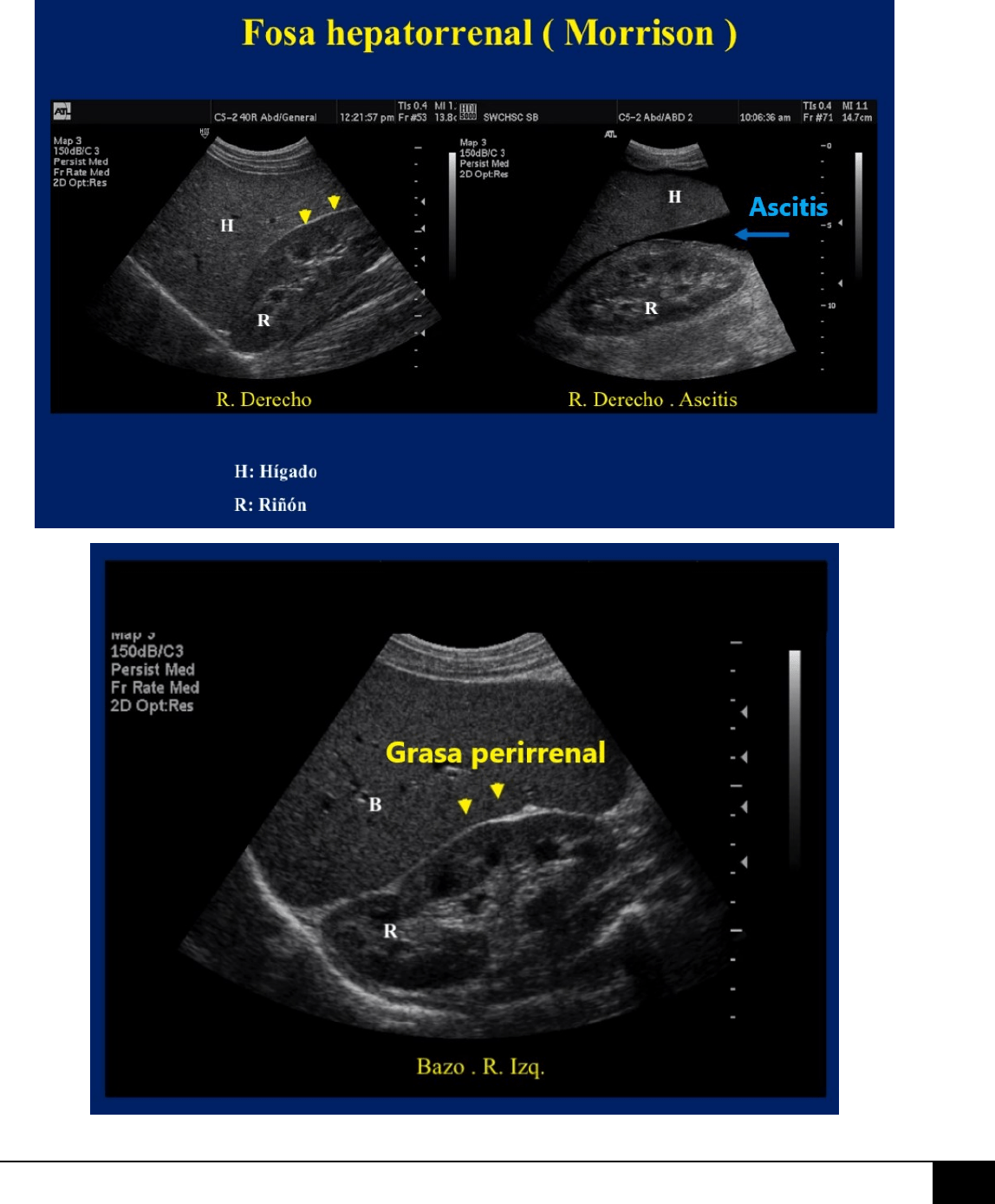
POSTERIOR o “FOSA DE MORRISON”:
Espacio más declive del abdomen en el
paciente en decúbito supino y, por
tanto, un sitio frecuente de acúmulo de
líquido, hemoperitoneo, metástasis y
abscesos. Está separado del espacio
subfrénico derecho por el LTD, pero
ambos espacios comunican libremente
entre sí alrededor del borde del LTD.
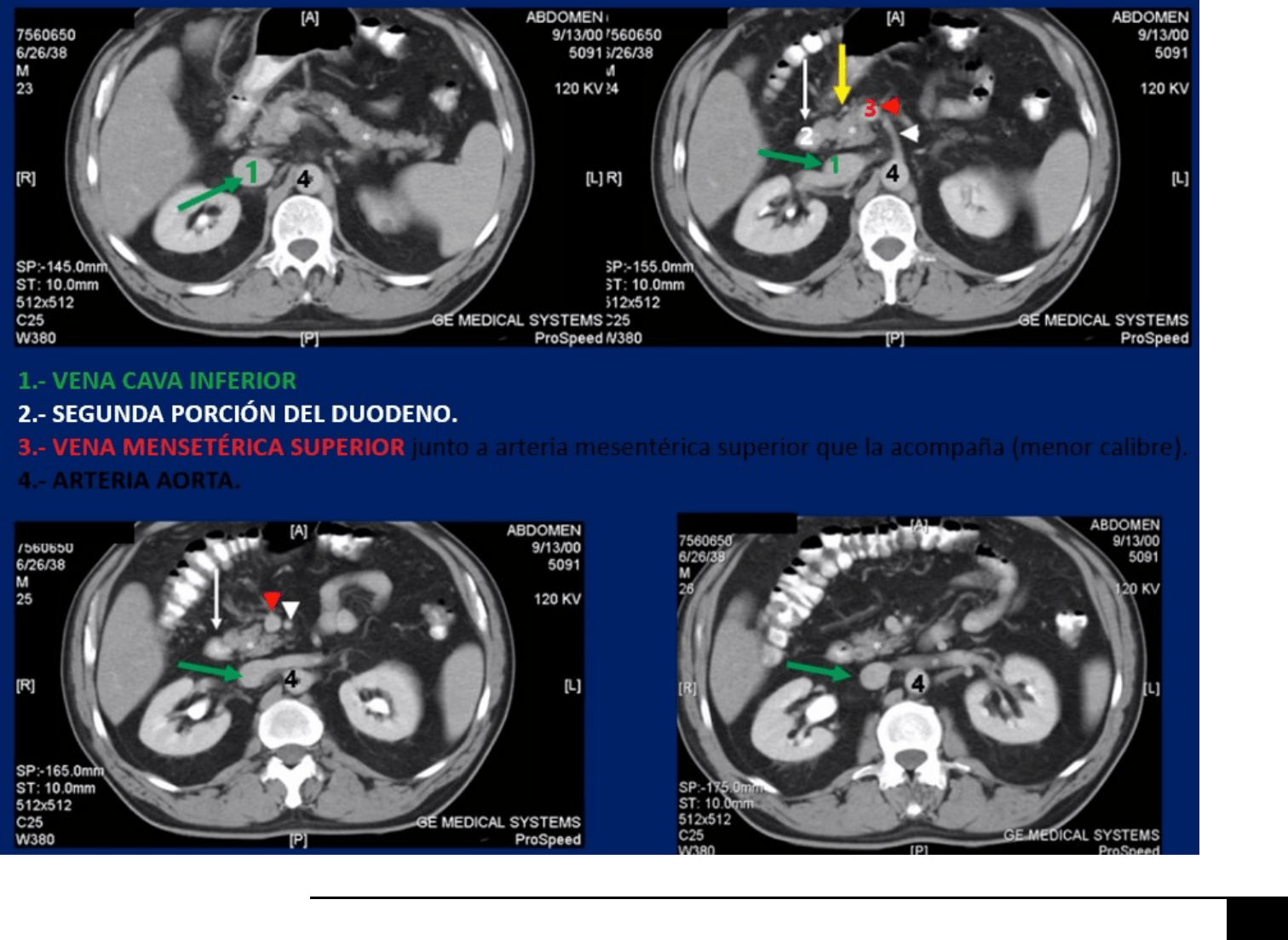
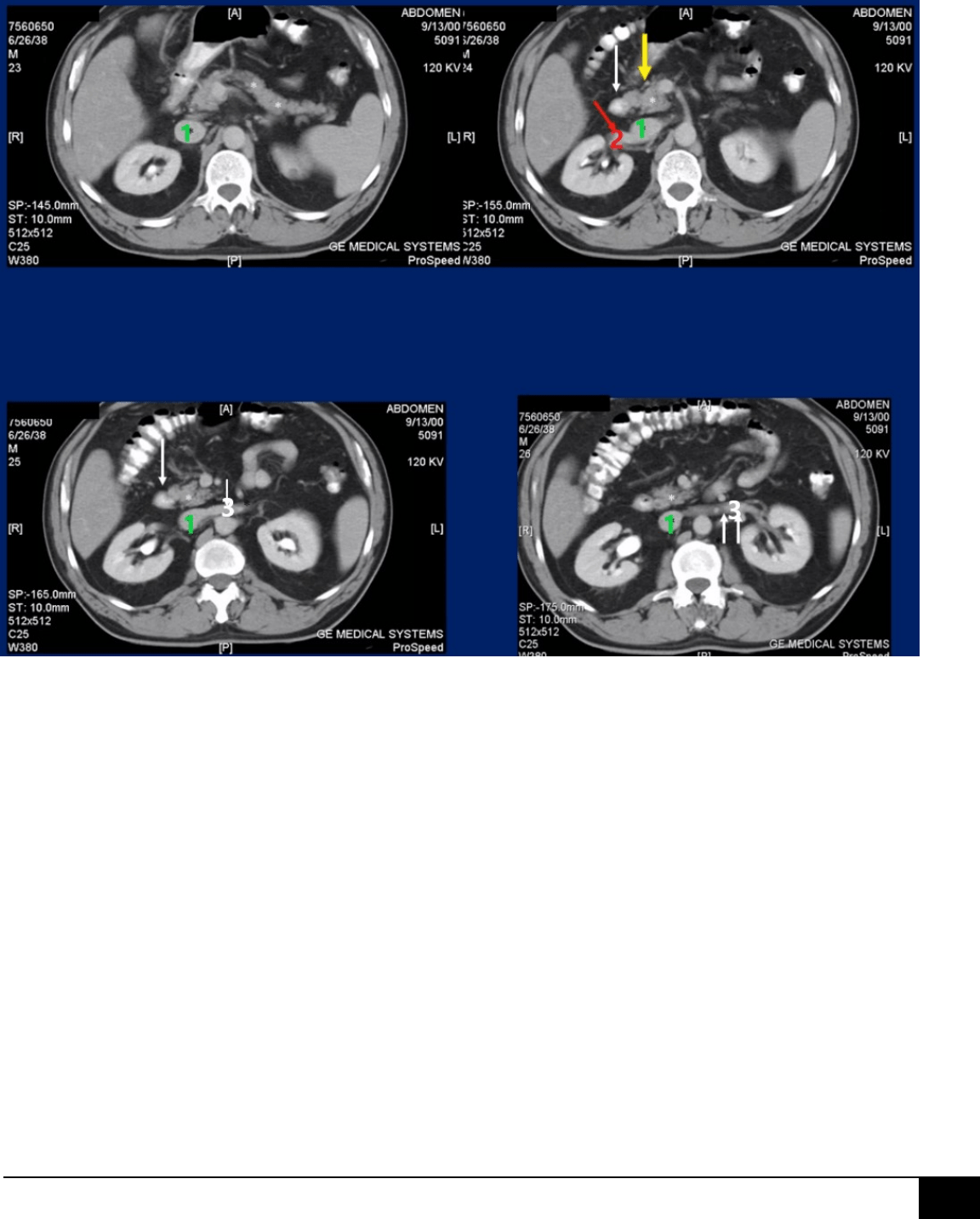
SACO MENOR O
TRANSCAVIDAD DE LOS
EPIPLONES
Situado por detrás del epiplón menor, el estómago y el bulbo
duodenal, y del LGC. Posteroinferiormente está limitado por el MT,
lateralmente a la izquierda por los LGE y LER. Su límite posterior viene
definido fundamentalmente por la mayor parte del páncreas.
Comunica a la derecha con el resto de la cavidad peritoneal a través
del foramen epiploico o hiato de Winslow. Puede verse ocupado por
ascitis benigna o maligna; sin embargo, cuando una colección líquida
aislada se localiza en el saco menor, debemos pensar en pancreatitis o
en una úlcera gástrica o duodenal perforadas
ESPACIOS
INFRAMESOCÓLICOS
ESPACIO INFRAMESOCÓLICO DERECHO
ESPACIO INFRAMESOCÓLICO IZQUIERDO
ESPACIOS PÉLVICOS:
Inferiormente, el
peritoneo se refleja
sobre el fundus de la
vejiga, las superficies
anterior y posterior
del útero en las
mujeres, y sobre la
porción superior del
recto.
ESPACIOS PARAVESICALES: División derecha e izquierda de la pelvis realizada por la vejiga.
HOMBRE:
- Fondo de saco rectovesical.
MUJER:
- Fondo de saco vésicouterino.
- Fondo de saco rectouterino o “De Douglas”.