lOMoARcPSD|206372 35
GLANDULAS SALIVALES
Glándulas mayores
Glándula Parótida: Es la más grande y está ubicada en la región infratemporal
(parotidomasenterina) de la cabeza. Su conducto excretor, el conducto parotídeo
(de Stensen), desemboca en la papila parótida.
Glándula Submandibular: Está ubicada en el triángulo submandibular del cuello.
Su conducto excretor, el conducto submandibular (de Wharton), desemboca en
una pequeña prominencia carnosa (la carúncula sublingual) a cada lado del frenillo
lingual en el piso de la cavidad bucal.
Glándula Sublingual: Ubicada bajo la lengua en los pliegues sublinguales del piso
de la cavidad bucal. Tiene varios conductos excretores pequeños; algunos se unen
al conducto submandibular y otros desembocan de forma independiente en la
cavidad bucal.
Glándulas menores
Se encuentran en la submucosa de la cavidad bucal. Desembocan directamente en la
cavidad a través de conductos cortos y se denominan así por su ubicación (es decir,
glándula bucal, labial, lingual, palatina).
Adenómeros glandulares
La unidad básica de secreción de las glándulas salivales, la sialona, consiste en el
adenómero llamado acino, el conducto intercalar y el conducto excretor. El acino es un
saco ciego compuesto por células secretoras. Los acinos de las glándulas salivales
contienen células serosas (secretoras de proteínas), células mucosas (secretoras de
mucina) o ambas. Se describen tres tipos de acinos.
Acinos serosos: contienen solo células serosas y en general son esferoidales. Las
células serosas tienen una forma piramidal, con una superficie basal amplia que
está en contacto con la lámina basal y una superficie apical reducida que da hacia
la luz n los acinos. Contienen una gran cantidad de RER, ribosomas libres, un
aparto de Golgi prominente y muchos gránulos de secreción esferoidal.
lOMoARcPSD|206372 35
Acinos mucosos: contienen solo células mucosas y suelen ser más tubulares. Las
células mucosas contienen una gran cantidad de gránulos de mucinogeno en su
citoplasma apical y debido a que el mucinogeno se pierde en los cortes de parafina
teñidos con H&E, la porción apical de la célula suele aparecer vacía. El RER, las
mitocondrias, el núcleo y otros componentes se encuentran sobre todo en la
porción basal de la célula.
Acinos mixtos: contienen tanto células mucosas como células serosas. En los
preparados de rutina teñidos con H&E, los acinos mucosos tienen un casquete de
células serosas que se cree que secretan su producto hacia el espacio intercelular
tortuoso entre las células mucosas. Debido a su aspecto en los cortes histológicos,
estos casquetes reciben el nombre de semilunas serosas.
Existen células contráctiles que abrazan la región basal de las células secretoras del ácino
denominadas células mioepiteliales. Estas células son fundamentales para impulsar
productos de secreción hacia el conducto excretor; en los preparados de rutina H&E el
núcleo de la célula con frecuencia aparece como una pequeña silueta redondeada cerca
de la membrana basal.
Conductos excretores
Conducto intercalar: que parte del ácino. Están revestidos por epitelio simple
cubico.
Conducto estriado: corresponden a repliegues de la membrana plasmática basal
de las células cilíndricas del epitelio que forma el conducto. Están revestidos por
epitelio simple cubico que se convierte en cilíndrico conforme se aproxime al
conducto excretor.
Conductos excretores: son los conductos mayores que desembocan en la cavidad
bucal.
lOMoARcPSD|206372 35
Glándula parótida
Son glándulas pares, completamente serosas y son las más grandes de las glándulas
salivales mayores. Los conductos estriados son grandes y bien visibles, suele haber una
gran cantidad de tejido adiposo que es una de sus características distintivas.
Glándula submandibular
Son glándulas mixtas, pares y más o menos pares. Entre los acinos serosos predominantes,
suelen aparecer algunos acinos mucosos coronados por semilunas serosas, los conductos
intercalares son menos abundantes que en la glándula parótida.
Glándula sublingual
Son pequeñas glándulas mixtas, pares. Sus múltiples conductos sublinguales pequeños
desembocan en el confuto submandibular y también en forma independiente sobre el
piso de la boca; algunos de los acinos de predominio mucoso poseen semilunas serosas.
lOMoARcPSD|206372 35
HÍGADO
Es la masa de tejido glandular más grande del organismo y el órgano interno más
voluminoso, se localiza en el
cuadrante superior derecho en
parte del cuadrante superior
izquierdo de la cavidad
abdominal, protegido por la
parrilla costal. Está encerrado
en una cápsula de tejido
conjuntivo fibroso (cápsula de
Glisson); una cubierta serosa
(peritoneo visceral). En el
embrión el hígado se
desarrolla como una
evaginación endodérmica
desde la pared del intestino
anterior (a la altura donde se
convertirá el duodeno) para
formar el divertículo hepático.
El divertículo prolifera y da lugar a los hepatocitos, que se organizan en cordones para
formar el parénquima hepático. El pedículo original del divertículo hepático se convierte
en el colédoco (conducto biliar común). Un brote de este conducto forma el divertículo
cístico que da origen a la vesícula biliar y al conducto cístico.
El hígado desempeña un papel importante en la captación, almacenamiento y distribución
de sustancias nutritivas y vitaminas que circulan el torrente sanguíneo. También es un
órgano exocrino; produce la bilis que contiene sales biliares, fosfolípidos y colesterol y
desempeña funciones de tipo endócrinos importantes.
Produce la mayor parte de las proteínas plasmáticas que circulan en el organismo:
albúminas, lipoproteínas, glucoproteinas, protrombina y fibrinógeno, globulinas no
inmunitarias A y B.
La producción de bilis es una función exocrina del hígado; la bilis contiene productos de
desechos y degradados que se devuelven al intestino para su eliminación. Es transportada
desde el parénquima del hígado a través de los conductos biliares que se fusionan para
formar el conducto hepático. El conducto cístico transporta la bilis hacia la vesícula biliar,
donde se concentra. La bilis regresa por el conducto cístico hacia el colédoco, que la lleva
hacia el duodeno.
lOMoARcPSD|206372 35
ORGANIZACIÓN ESTRUCTURAL DEL HIGADO
Parénquima: consiste en cordones de hepatocitos bien organizados que están separados
por capilares sinusoidales.
Estroma de tejido conjuntivo: se continua con la capsula de fibrosa Glisson. Los vasos
sanguíneos, nervios, vasos linfáticos y conductos biliares transcurren dentro del estroma
de tejido conjuntivo.
Capilares sinusoidales (sinusoides): conforman el conducto vascular entre los cordones de
hepatocitos.
Espacios perisinusoidales (espacios de Disse): se encuentran entre el endotelio sinusoidal
y los hepatocitos.
LOBULILLOS HEPATICOS
Existen tres maneras de describir la estructura del hígado en términos de una unidad
funcional: el lobulillo clásico, el lobulillo portal y el ácino hepático.
LOBULILLO CLÁSICO
Es la manera tradicional de describir la organización del parénquima hepático y es
relativamente fácil de visualizar, se fundamenta en la distribución de las ramas de la vena
porta y la arteria hepática dentro del órgano. Es una masa de tejido más o menos
hexagonal; está compuesto por pilas de cordones anastomosas de hepatocitos, de una
sola célula de espesor, separas por el sistema interconectados de sinusoides que irrigan
las células con una mezcla de sangre portal (venosa) y arterial. En el centro del lobulillo se
encuentra una vénula relativamente grande, la vénula hepática terminal (Vena central), en
la cual desemboca los sinusoides. En los ángulos del hexágono se encuentran las áreas
portales (conductos portales), que consisten en tejido conjuntivo laxo del estroma
caracterizado por la presencia de las triadas portales. En los bordes del espacio portal,
entre el tejido conjuntivo del estroma y los hepatocitos, existe un pequeño espacio
denominado espacio periportal (espacio de Mall). Se cree que este espacio es uno de los
sitios donde se origina la linfa en el hígado.
LOBULILLO PORTAL
Enfatiza las funciones exocrinas del hígado, el eje morfológico del lobulillo portal es el
conducto biliar interlobulillar de la triada portal del lobulillo clásico. Sus bordes externos
son líneas imaginarias trazadas entre las tres venas centrales que se encuentran más
lOMoARcPSD|206372 35
cercanas a la triada portal. Estas líneas definen un bloque de tejido más o menos
triangular que incluye esas porciones de los tres lobulillos clásicos que secretan la bilis que
drena en su conducto biliar axial.
ÁCINO HEPATICO
Es la unidad estructural que proporciona la mejor correlación entre la perfusión
sanguínea, la actividad metabólica y la patología hepática. El ácino hepático tiene forma
romboidal y es la unidad funcional más pequeña del parénquima hepático. El eje mejor
del ácino está definido por las ramas terminales de la triada portal que siguen el límite
entre dos lobulillos clásicos. El eje mayor del ácino es una línea trazada entre las dos venas
centrales más cercanas al eje menor. Por lo tanto, en una vista bidimensional, el ácino
hepático ocupa parte de los lobulillos clásicos contiguos. Los hepatocitos en cada ácino
hepático se describen dispuestos en tres zonas elípticas concéntricas que rodean al eje
menor:
ZONA 1: es la más cercana al eje menor y a la irrigación proveniente de las ramas
penetrantes de la vena porta y de la arteria hepática. Esta zona corresponde a la
periferia de los lobulillos clásicos.
ZONA 2: se encuentra entre las zonas 1 y 3 pero no representa límites nítidos.
ZONA 3: es la más lejana al eje menor y la más cercana a la vena hepática terminal
(vena central). Esta zona corresponde al centro del lobulillo clásico que rodea la
vena hepática terminal.
Los sinusoides hepáticos están revestidos con un endotelio discontinuo delgado. El
endotelio sinusoidal discontinuo presenta una lámina basal discontinua que falta en
muchos sitios. Estos sinusoides difieren de otros sinusoides porque poseen un segundo
tipo celular, denominado macrófago sinusoidal estrellado (célula de kupffer) que es un
componente habitual del revestimiento del vaso. Las células de kupffer pertenecen al
sistema fagocitico mononuclear. Estas células no están unidas a las células endoteliales
vecinas, participan la degradación final de algunos eritrocitos dañados o envejecidos que
lOMoARcPSD|206372 35
llegan al hígado.
ESPACIO PERISINUSOIDAL (ESPACIO DE DISSE)
Es el sitio de intercambio de materiales entre la sangre y los hepatocitos. El espacio de
Disse se encuentra entre las superficies basales de los hepatocitos y las superficies basales
de las células endoteliales y de las células de Kupffer que tapizan los sinusoides. Desde la
superficie basal de los hepatocitos, se proyectan pequeñas microvellocidades irregulares
hacia este espacio.
Las proteínas y lipoproteínas sintetizadas por los hepatocitos, se transfieren a la sangre a
través del espacio perisinusoidal; todas las secreciones hepáticas siguen este mecanismo,
excepto la bilis. El otro tipo celular encontrado en el espacio perisinusoidal es la célula
estrellada hepática comúnmente llamada célula de Ito de origen mesenquimatoso; estas
células son el sitio principal de depósito de la vitamina A hepática.
HEPATOCITO
Los hepatocitos forman los cordones celulares anastomosadas del lobulillo hepático, son
células poligonales grandes, constituyen alrededor del 80% de la población celular del
hígado, el núcleo es grande y esferoidal ocupando el centro de la célula, el citoplasma en
lOMoARcPSD|206372 35
general es acidofilo; las regiones basófilas que corresponden al RER y a ribosomas libres,
mitocondrias abundantes, multiples complejos de Golgi pequeños, gran cantidad de
peroxisomas, depósitos de glucógeno, inclusiones lipídicas.
ARBOL BILIAR
El árbol biliar es el sistema tridimensional de conductos de diámetro creciente presente
por el que atraviesa la bilis desde los hepatocitos hacia la vesicula biliar y desde allí hasta
el intestino. Estas estructuras no solo son conductos pasivos, sino que también son
capaces de modificar el flujo biliar y cambiar su composición como respuesta a la
estimulación hormonal y nerviosa. Tiene un revestimiento de colangiocitos, que vigilan el
flujo biliar y regulan su contenido. Los colangiocitos son células epiteliales que forman el
revestimiento interno del árbol biliar.
El canalículo biliar es un conducto pequeño formado por surcos yuxtapuestos en la
superficie de los hepatocitos contiguos. Las ramas más pequeñas del árbol biliar son
canalículos biliares hacia los cuales los hepatocitos secretan la bilis. Cerca del espacio
portal, pero aún dentro del lobulillo, los canalículos biliares se transforman en conductos
de Hering de trayecto corto. Una característica distintivas del conducto de Hering es su
revestimiento formado por dos tipos de células: hepatocitos y colangiocitos. Al igual que
otros colangiocitos, los hepatocitos poseen microvellocidades en su superficie apical, el
conducto de hering tiene una actividad contráctil que contribuye al flujo biliar
unidireccional hacia el espacio portal. El conducto de Hering actúa como un reservorio de
células progenitoras hepáticas.
El conductillo biliar corresponde a la parte del árbol biliar que está revestida por
colangiocitos en su totalidad. La bilis del conducto de Hering continua su flujo hacia el
lOMoARcPSD|206372 35
conductillo biliar intrahepatico; la diferencia principal entre el conducto de Hering y el
conductillo biliar no es su ubicación dentro del lobulillo, sino si la estructura esta parcial o
completamente revestida por colangiocitos. Los conductillos biliares intrahepaticos llevan
la bilis hacia los conductos hepáticos.
VESICULA BILIAR
Es un saco ciego que se continúa, desde su región denomina cuello, con el conducto
cístico. A través de este conducto, recibe bilis diluida desde conducto hepático.
La vesícula biliar puede almacenar la bilis entrante y extraerle cerca del 90 % del agua que
contiene, lo cual produce un incremento de hasta 10 veces en la concentración de sales
biliares, colesterol y bilirrubina. Las hormonas secretadas por las lulas enteroendocrinas
del intestino delgado, en respuesta a la presencia de grasa en el duodeno proximal,
estimula las contracciones de musculo liso de las vesícula biliar. Como consecuencia de
estas contracciones, la bilis concentrada se expulsa hacia el colédoco, que la conduce
hasta el duodeno.
lOMoARcPSD|206372 35
La mucosa de la vesícula biliar presenta varias características distintivas. Posee muchos
pliegues profundos de la mucosa. La superficie de la mucosa está compuesta por epitelio
cilíndrico simple, las células epiteliales altas (colangiocitos) exhiben las siguientes
características: Numerosas microvellocidades, complejos de unión apicales,
concentraciones de mitocondrias, pliegues laterales.
La lamina propia de la mucosa está particularmente bien provista de capilares fenestrados
y pequeñas vénulas, contiene una gran cantidad de plasmocitos y linfocitos. También se
encuentran glándulas mucosecretoras.
Por fuera de la lámina propia se encuentra una muscular externa que presenta
abundantes fibras colágenas y elásticas entre los haces de células musculares lisas. La
contracción del musculo liso reduce el volumen vesicular, que fuerza la salida de su
contenido hacia el conducto cístico. Por fuera de la muscular externa hay una capa gruesa
de tejido conectivo denso, esta capa contiene vasos sanguíneos de gran calibre, una red
linfática extensa y nervios autónomos. La capa de tejido donde la vesícula biliar se adhiere
al parénquima hepático, se conoce como adventicia. La superficie no adherida está
cubierta por una serosa o peritoneo visceral, que consiste en una capa de mesotelio y una
capa delgada de tejido conectivo laxo. Además los divertículos profundos de la mucosa,
denominados senos de Rokitansky-Aschoff, a veces se extienden a través de la muscular
externa.
lOMoARcPSD|206372 35
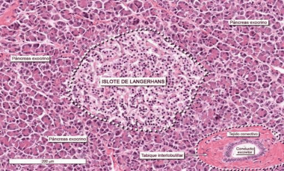
PANCREAS
Es una glándula alargada en la que se describe una cabeza, un cuerpo y una cola, una capa
delgada de tejido conjuntivo laxo forma una capsula alrededor de la glándula. Desde esta
capsula, un tabique se extiende hacia la glándula, dividiéndola en lobulillos mal definidos.
Dentro de los lobulillos, un estroma de tejido conjuntivo laxo rodea las unidades
parenquimaticas.
El páncreas es una glándula exocrina y endocrina
El componente exocrino sintetiza y secreta enzimas hacia el duodeno que son
indispensable para la digestión en el intestino.
El componente endocrino sintetiza las hormonas insulina y glucagón y las secreta hacia la
sangre. Estas hormonas regulan el metabolismo de la glucosa, los lípidos y las proteínas en
el organismo.
El componente exocrino se encuentra en toda la glándula; dentro del páncreas exocrino,
se encuentran dispersos cúmulos celulares bien definidos denominados ISLOTES DE
LANGERHANS que constituyen el componente endócrino.
PANCREAS EXOCRINO
Los adenomeros son de forma acinosa o tubuloacinosa y están formados por un epitelio
simple de células serosas piramidales. Los acinos pancreáticos son singulares por que el
conducto inicial, el conducto intercalar, comienza dentro del adenomero mismo. Las
lOMoARcPSD|206372 35
células del conducto ubicadas dentro del acino son conocidas como células centro
acinosas. Las células acinosas se caracterizan por presentar una basofilia bien definida en
el citoplasma basal y gránulos de cimógeno acidofilos en el citoplasma apical. Los gránulos
de cimógeno contienen una gran variedad de enzimas digestivas en una forma inactiva, se
activan solo después de alcanzar la luz del intestino delgado.
SISTEMA DE CONDUCTOS DEL PANCREAS EXOCRINO
Las células centroacinosas están en el inicio del sistema de conductos del páncreas
exocrino, presentan un núcleo central aplanado y un citoplasma adelgazado y se
continúan con las células del conducto intercalar corto. Los conductos intercalares son
cortos y drenan en conductos colectores intralobulillares. En el páncreas no hay conductos
estriados (secretores).
La compleja red ramificada de conductos intralobulillares desemboca en los grandes
conductos interlobulillares, que están revestidos de epitelio cilíndrico en el cual pueden
encontrarse células enteroendocrinas y células caliciformes. Los conductos
interlobulillares desembocan directamente en el conducto pancreático principal, atraviesa
toda la gandula en forma paralela a su eje longitudinal. En la cabeza del páncreas se
origina un segundo conducto grande, el conducto pancreático accesorio. Los intercalares
añaden bicarbonato y agua a la secreción exocrina. Todo el volumen de la secreción
pancreática se entrega al duodeno.
Dos hormonas, la secretina y colecistocinina, son los reguladores principales del páncreas
exocrino.
PANCREAS ENDOCRINO
Es un órgano difuso que secreta hormonas que regulan la concentración de glucosa en la
sangre. Los ISLOTES DE LANGERHANS, es el componente endocrino del páncreas, están
dispersos por toda la glándula en la forma de grupos celulares de tamaño variable. Son
más abundantes en la cola del páncreas.
Las células endocrinas definitivas de los islotes se desarrollan entre la novena y duodécima
semana de gestación. En los cortes teñidos con H&E, los islotes de Langerhans aparecen
como cúmulos de células pálidas rodeados por acinos pancreáticos que se tiñen con mas
intensidad. La fijación en Zenker-formol y de la tinción con el método de Mallory-Azan es
posible identificar tres tipos celulares principales, designados células A, células B y células
D. Las células A se tiñen de rojo, las B de pardo anaranjado y las D de azul. Cada tipo
lOMoARcPSD|206372 35
celular puede correlacionarse con una hormona específica, y cada una tiene una ubicación
determinada en el islote.
Las células B constituyen entre el 60% y el 70% del total de células insulares, en general se
localizan en la porción central, secretan insulina. Las células A constituyen entre el 15% y
el 20% de la población insular, en general se localizan en la periferia de los islotes,
secretan glucagón. Las células D constituyen entre el 5% y 10% del tejido pancreático
endocrino total y también se localizan en la periferia de los islotes y secretan
somatostatina.
Funciones de las hormonas pancreáticas: La insulina disminuye la concentración de
glucosa en la sangre. El glucagón aumenta la concentración de glucosa en la sangre. La
somatostatina inhibe la secreción de insulina y glucagón.
SUBIDO aparato-digestivo-ii-histologia-y-embriologia (1)_organized_organized (1).pdf
browser_emoji Estamos procesando este archivo...
browser_emoji Lamentablemente la previsualización de este archivo no está disponible. De todas maneras puedes descargarlo y ver si te es útil.
Descargar
. . . . .