Volver a
Anatomía Clínica y Bioética
Imág
enes Car
a y Cuello
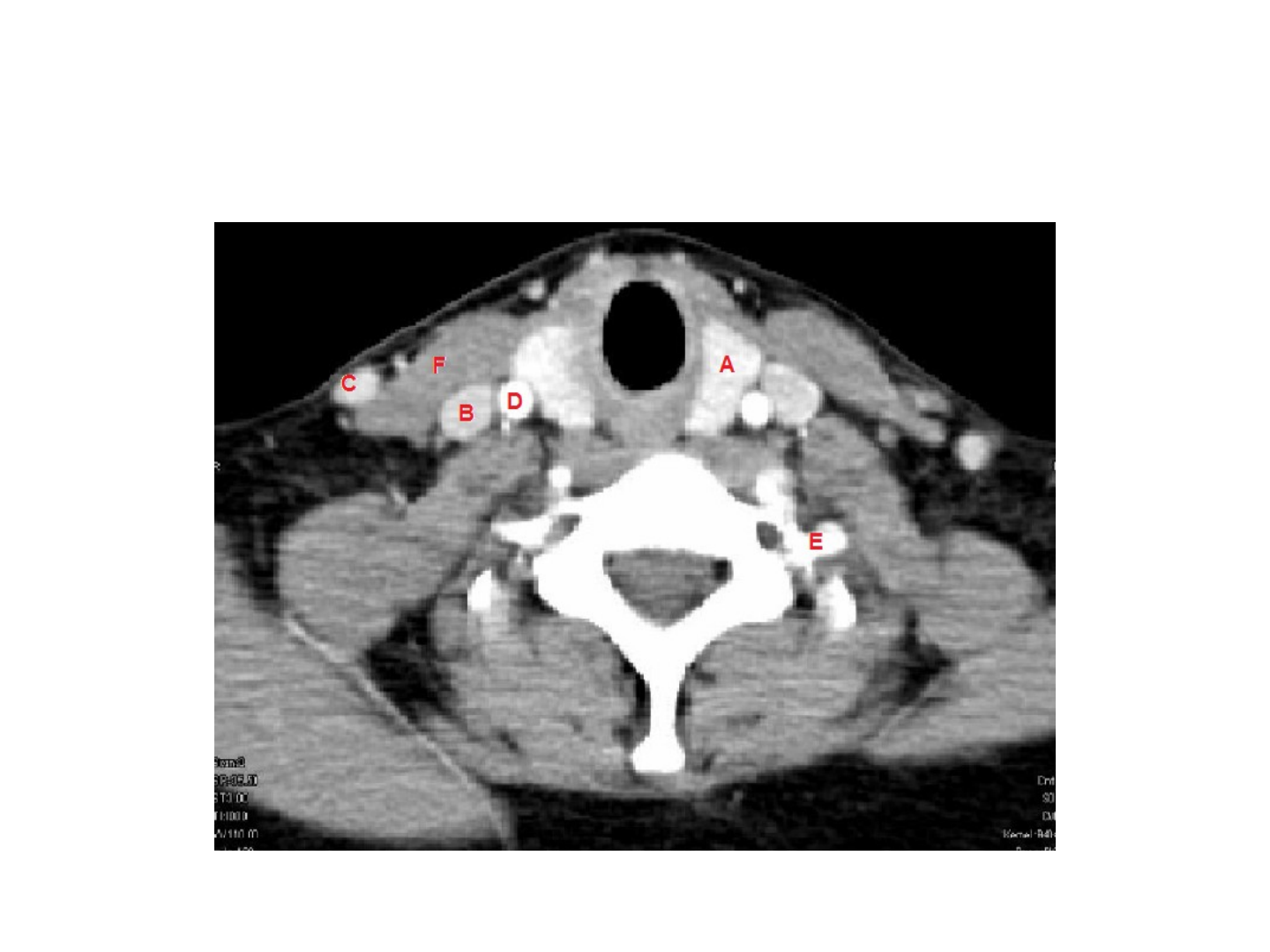
A-B-C-D-F: N
ombre
la es
tructura señalada.
E: Nombre el sect
or del hueso señalado.
R
espues
t
as:
•
A: lóbulo iz
quier
do de l
a glándula tir
oides.
•
B: V
ena yugular in
t
erna Der
echa.
•
C: V
ena yugular e
x
t
erna Der
echa.
•
D: Art
eria Car
ótida Prim
itiv
a Der
echa.
•
E: Apófisis
tr
ans
ver
sa
iz
quier
da.
•
F: Músculo E
CM.
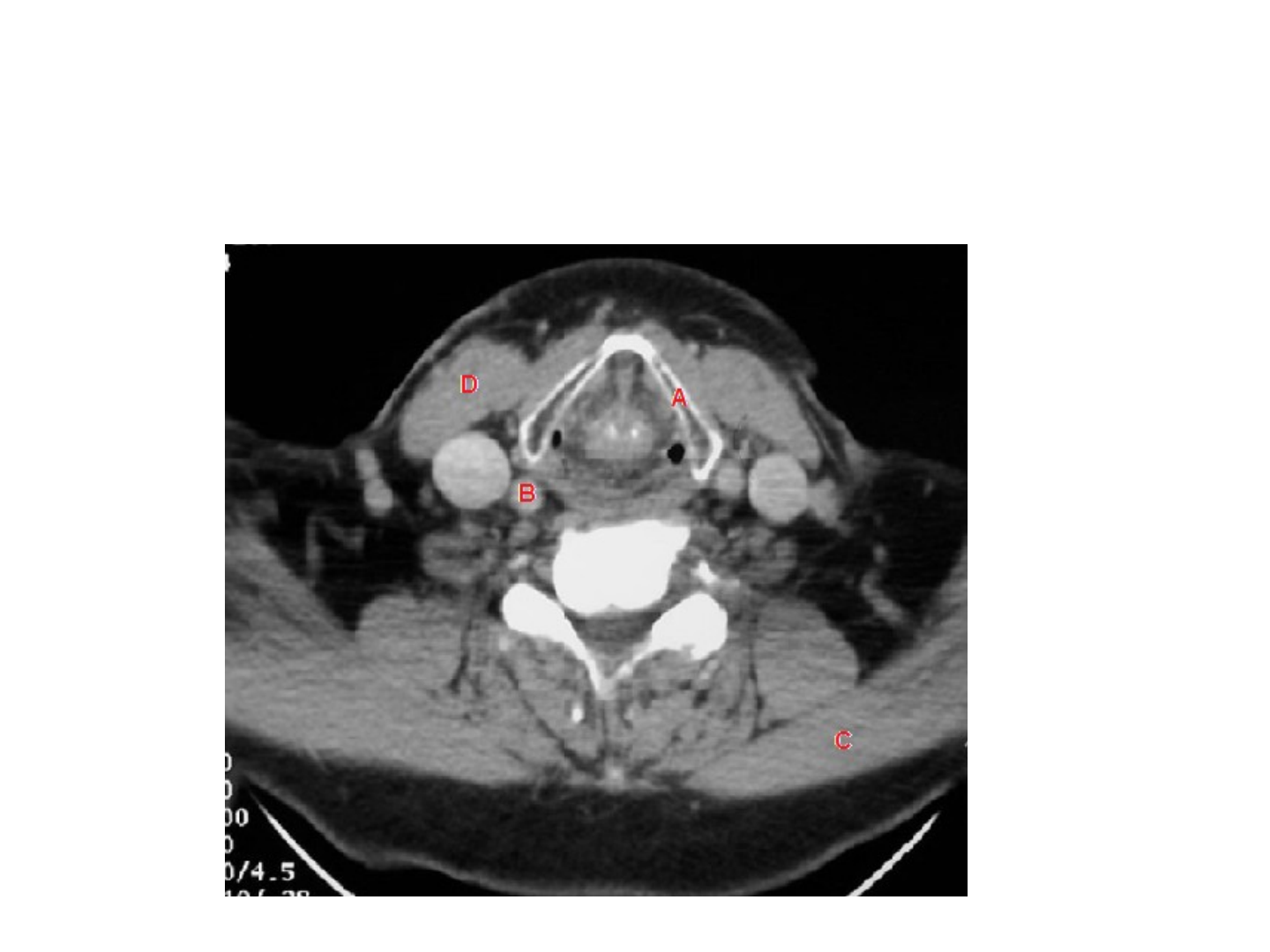
Nombren las es
tructur
a
s señaladas.
R
espues
t
as
•
A: Cartíl
ago arit
enoides Der
echo.
•
B: V
ena yugular in
t
erna Der
echo.
•
C: Cartí
lago tir
oides.
•
D
. E
CM der
echo.
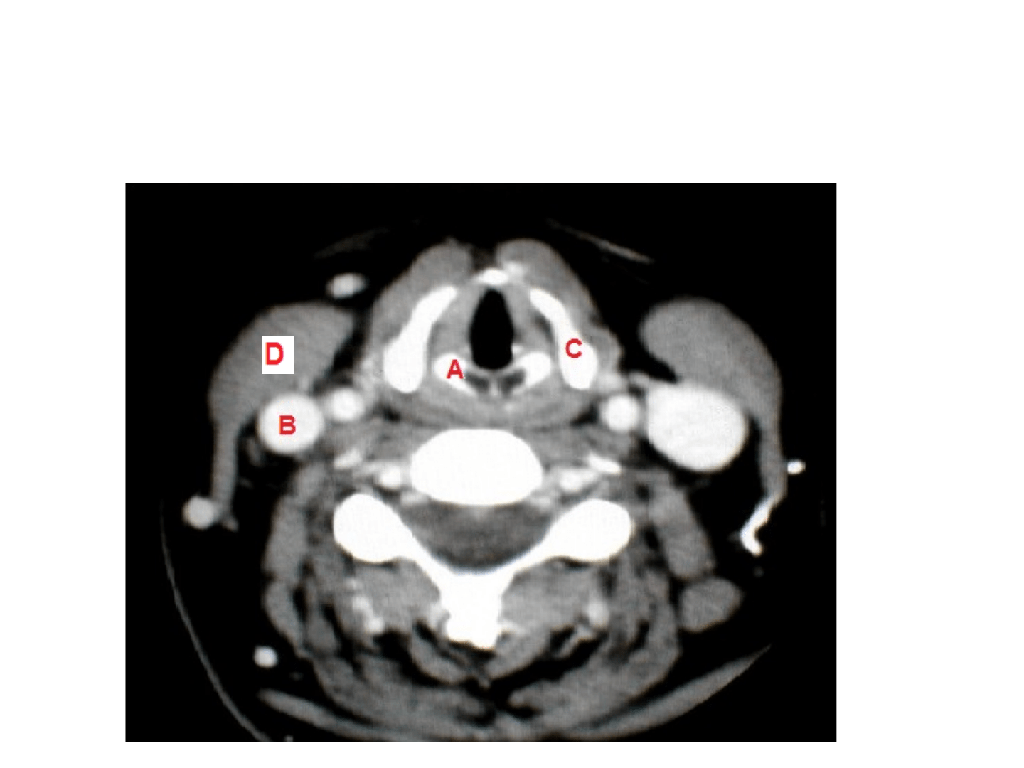
Nombr
en las es
truc
tur
as señaladas:
R
espues
t
as:
•
A: Cartíl
ago tir
o
ides.
•
B: Art
eria Car
ótida Pri
mitiv
a der
echa.
•
C: Músculo T
r
apecio iz
q
uier
do.
•
D: Músculo E
CM der
echo.
Nombr
en las es
truc
tur
as señaladas:
R
espues
t
as:
•
A: Celdilla E
tmoidal
•
B: Seno Ma
xilar
•
C: Corne
t
e in
f
erior
•
D: Ma
xilar in
f
erior (mandíbula)
simulacro TAC cara y cuello.pdf
Estamos procesando este archivo...
Lamentablemente la previsualización de este archivo no está disponible. De todas maneras puedes descargarlo y ver si te es útil.
Descargar
.
.
.
.
.