
cavidad medular de la diáfisis. Y de esa manera se va sustituyendo el tejido cartilaginoso
original por tejido óseo
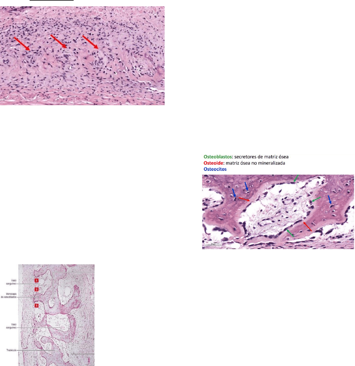
8) Llega un momento que los osteoblastos quedan totalmente invadidos en esa matriz osea
que sintetizaron, la matriz se mineraliza y los osteoblastos se diferencian a osteocitos
9) Al mismo tiempo más células osteprogenitoras son atraídas a la superficie y hacen que
esas trabéculas mixtas crezcan por aposición
CRECIMIENTO DE TRABECULAS MIXTAS POR APOSICIÓN: quiere decir que más
osteoblasto se apoyen sobre las espículas y empiecen a sintetizas más MEC
REGIONES EN EL CARTILAGO REMANENTE
10) Todo este proceso de continua erosión y depósito de matriz ósea permiten que se
diferencien distintas regiones en el cartílago que queda remanente del molde
original
A medida que la cavidad medular aumenta de tamaño el cartílago remanente, que
todavía no ha sido sustituido por tejido óseo, va adquiriendo distintos aspectos
dependiendo de la distancia que lo separe de esa cavidad medular en expansión
REGIONES: tienen distinto aspecto. Las regiones se observan en el cartílago
epifisiario, porque en la diáfisis ya fue degradado y erosionado, entonces el cartílago
remanente que queda esta en ambas epífisis
➢ Región del cartílago de reserva (en reposo): Es un cartílago
hialino en reposo, las células están en estado quiescente y son
pequeñas, no se observa actividad mitótica ni secreción de MEC
activa. Se encuentra más alejado del centro de invasión del tejido
óseo y de la degradación y erosión por parte de los osteoclastos
➢ Región del cartílago en proliferación: Se ubica inmediatamente
por debajo de la región de cartílago en reposo y más cerca de la cavidad medular en
expansion. Los condrocitos en esta zona tienen un tamaño mayor, y
esta zona se puede visualizar porque los condrocitos que están ella
sufren procesos sucesivos de mitosis, estos procesos sucesivos de
mitosis que hacen que se generen los grupos isogénicos axiales,
generan esta suerte de columnas o “pilas de monedas” lo que permite
distinguir esta región. Estos condrocitos están en continua proliferación,
tienen una actividad de síntesis de matriz cartilaginosa activa, es decir
que sintetizan grandes cantidades de colágeno tipo II y sustancia fundamental de la matriz
cartilaginosa
➢ Región de cartílago hipertrófico: Se encuentra por debajo de la zona de cartílago en
proliferación y más cerca de la cavidad medular que se está
generando. Se encuentran las células hipertróficas, estas
células son muy grandes y a pesar de que tienen un aspecto
colapsado, esos condrocitos hipertróficos permanecen
metabólicamente activos, no solo sintetizan activamente
matriz cartilaginosa, sino que también sintetizan el factor de
crecimiento endotelial vascular lo cual permite la invasión de
los vasos sanguíneos a través del periostio; son responsables
también de la mineralización, porque liberan la fosfatasa alcalina, lo que permite que la matriz
cartilaginosa se calcifique. Estos condrocitos hipertróficos reclutan muchos macrófagos para