
El desarrollo y la diferenciación de los genitales externos ocurren al mismo tiempo
y se deben a la acción de la dihidrotestosterona (DHT). Si no hay DHT, no importa
el sexo genético o gonadal, los genitales externos seguirán el modelo femenino. La
aparición de testosterona, MIF y DHT en el embrión masculino en desarrollo
determina su sexo hormonal.
Aproximadamente en la semana 26 de gestación, los testículos descienden desde
el abdomen hacia el escroto. Esta migración está dada por el crecimiento
diferencial de la cavidad abdominal combinado con la acción de la testosterona que
causa el acortamiento del gubernaculum testis, el cual es un ligamento sensible a
la testosterona que conecta el polo inferior de cada testículo con el escroto en
desarrollo. Los testículos descienden hacia el escroto a través del conducto
inguinal, un canal angosto entre la cavidad abdominal y el escroto. Durante su
descenso los testículos llevan consigo sus vasos sanguíneos y linfáticos, sus nervios
y su vía espermática principal, el conducto deferente.
A medida que los testículos descienden hacia el escroto llevan consigo vasos
sanguíneos, linfáticos, nervios autónomos y una extensión del peritoneo abdominal
llamada túnica vaginal, que cubre su superficie anterolateral.
Dentro del escroto la temperatura de los testículos es de 2 a 3°C más baja que la
temperatura corporal. Esta temperatura más baja es indispensable para la
espermatogénesis, pero no es necesaria para la producción hormonal
(esteroidogénesis), que puede ocurrir a temperatura corporal normal. Si los
testículos se mantienen a temperaturas más altas o si no descienden al escroto,
no se producen espermatozoides.
Cada testículo recibe sangre a través de la arteria testicular, rama directa de la
aorta abdominal. Esta arteria está rodeada por el plexo venoso pampiniforme que
transporta la sangre desde los testículos hacia las venas abdominales. Esta
distribución permite el intercambio de calor entre los vasos sanguíneos y
contribuye a mantener los testículos a una temperatura más baja.
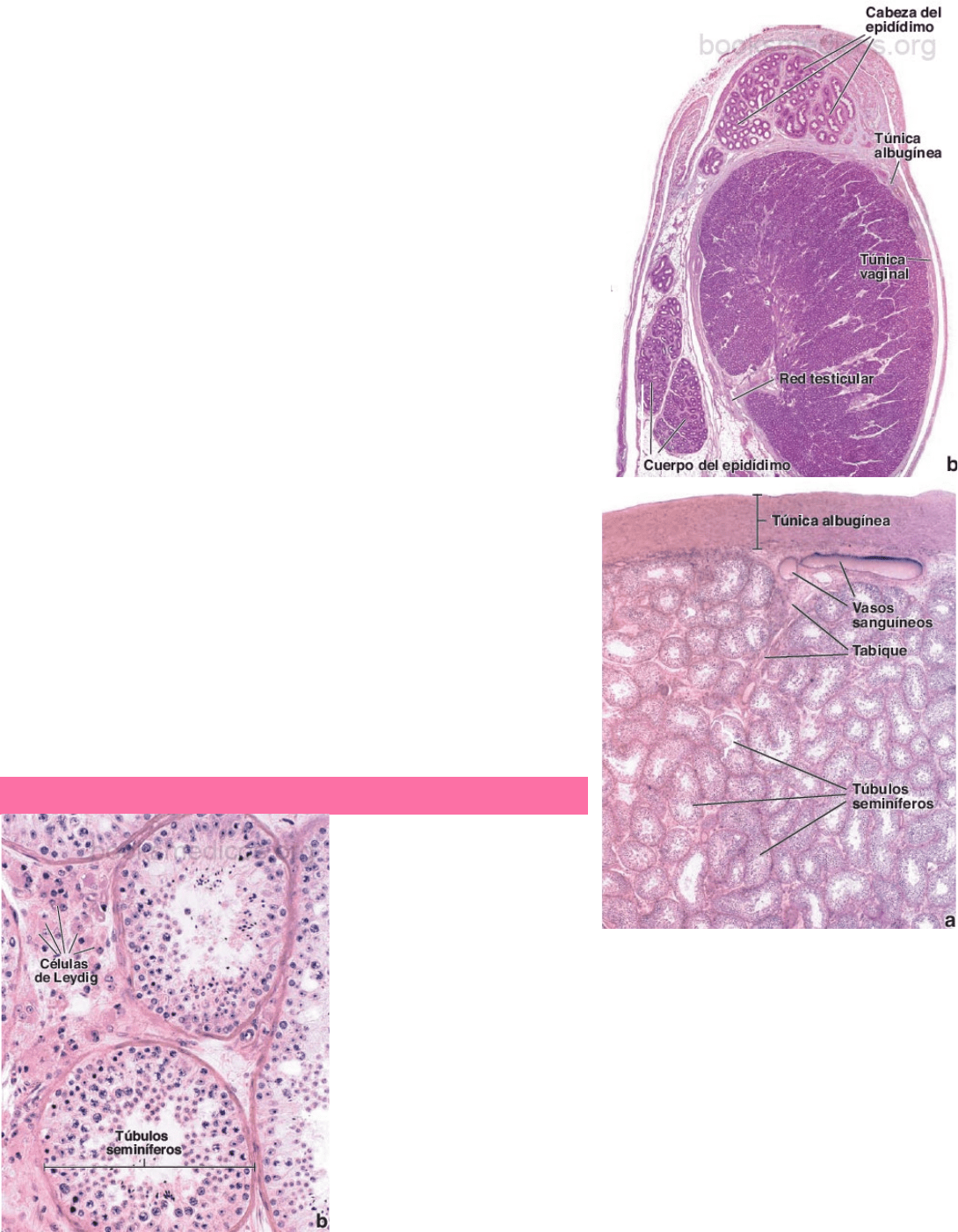
ESTRUCTURA DEL TESTÍCULO
Una cápsula gruesa de tejido
conjuntivo denso, llamada túnica
albugínea cubre cada testículo. La
parte interna de esta cápsula, la
túnica vasculosa, es una lámina de
tejido conjuntivo laxo que contiene vasos sanguíneos. Cada testículo está dividido en
alrededor de 250 lobulillos mediante tabiques de tejido conjuntivo que se proyectan
desde la cápsula. A lo largo de la superficie posterior del testículo, la túnica albugínea
aumenta su espesor y se mete dentro del órgano para formar el mediastino testicular,
el cual es atravesado por vasos sanguíneos, vasos linfáticos y la vía espermática para
salir o entrar del testículo.
Cada lobulillo testicular consiste en 1 a 4 túbulos seminíferos en los que se producen
los espermatozoides y un estroma de tejido conjuntivo en la que hay células de Leydig
que producen testosterona. Cada túbulo dentro del lobulillo describe un asa, cada uno
de los extremos de ésta están cerca del mediastino testicular, donde adoptan un curso
recto y corto. Este segmento del túbulo seminífero se denomina túbulo recto. Se
continúa con la red testicular, sistema de conductos anastomosados dentro del mediastino.