Histología- Tejido epitelial y conjuntivo pt.2
Epitelios glandulares- se localizan en sectores del organismo q estén asociados o
no con un epitelio de revestimiento
- Se pueden presentar como células individuales o formando órganos
(glándulas)
- Su función consiste en secretar compuestos hacia las sup corporales,
sangre o linfa.
CLASIFICACIÓN:
Glándulas unicelulares- exócrinas o endócrinas
Glándulas multicelulares: epitelios de revestimiento que pueden secretar o
glándulas intraepiteliales
Glándulas multicelulares con conducto excretor = exócrina
Glándulas multicelulares de secreción endócrina
Glándulas de secreción parácrina, las células van a afectar o estimular una
célula blanco cercana.
Las células glandulares pueden derivar de un epitelio de revestimiento, pueden
permanecer como células glandulares allí (caliciformes), pueden presentarse
formando glándulas intraepiteliales, o glándulas complejas, con zona secretora
(adenómero) y una porción excretora con conducto excretor.
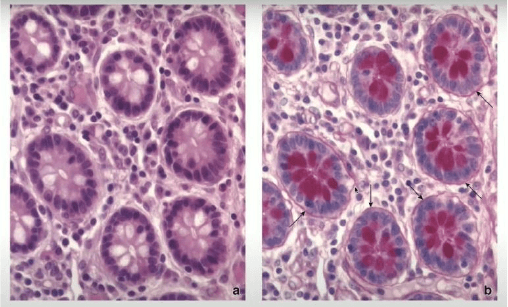
Glándulas unicelulares: células caliciformes (forma de copa), producen mucina. Su
extremo más estrecho (basal) dónde se encuentra el núcleo de la célula, y el
segmento apical más dilatado donde está el producto secretor, la mucina
(proteína, glúcidos). con PAS&H : rojo magenta su ex. Apical. Con Hematoxilina y
eosina: ex apical blanco intercalado con las células de revestimiento. Se destaca
la membrana basal delimitando las glándulas, se encuentra entre el epitelio y el
conjuntivo.
Epitelios de revestimiento con capacidad secretora: Casi todas las células tienen
esa capacidad, pueden conformar la mucosa gástrica y revistiendo la cavidad
uterina
Glándulas intraepiteliales: conjunto de celulas glandulares, alrededor de 6-8, que
rodean un orificio o conducto excretor primitivo. Pueden aparecer en epitelios
seudoestratificados de la mucosa nasal, en la uretra y en los conductillos eferentes
del testículo.
Glandulas multicelulares con conducto excretor (exócrinas): - tienen una porcion
secretora o adenómero
- Porción excretora o de conducción, conducto excretor
Se clasifican según: la forma y ramificación del adenómero
: la ramificación del conducto excretor
: la modalidad o mecanismo de secreción
: naturaleza química del producto de secreción
- La forma del
adenómero: * tubular:
glándulas de lieberkhunn,
luz fina y uniforme a lo
largo del tubo
- * Adenómero acinar :
glándulas salivales y
páncreas
- * Adenómero alveolar:
glándula mamaria,
próstata
Ramificacion del conducto excretor y ramificación del adenómero:
simple no ramificada
Simple ramificada
Compuesta no ramificada
Compuesta ramificada
Estas glándulas complejas tienen un componente epitelial, llamado parénquima,
toda la parte blanda adenómeros y conductos excretores, la parte que le da
soporte se denomina estroma, es conjuntivo. Estas glándulas entonces tienen una
cápsula de tejido conjuntivo rodeándolas, surgiendo tabiques que van a dividir a la
glán dulas en lóbulos, tabiques interlobares. A su vez existen tabiques que van a
dividir a los lóbulos en lobulillos, tabiques interlobulillares.
C
MECANISMO DE SECRECIÓN:
Secreción merócrina: las células glandulares liberan el producto a una
vesícula a través de la cara trans del aparato de Golgi, fusionándose por
exocitosis con la membrana plasmática. Esa membrana puede ser reciclada
para el uso de futuras vesículas secretoras. La mayoría de las glándulas de
nuestro organismo son de este tipo.
Secreción apócrina: el producto va a liberarse junto con un anillo de
citoplasma. La glandula mamaria secreta lípidos, rodeado de un anillo de
citoplasma.
Secrecion holócrina: la celula produce y acumula el producto de secreción
en su citoplasma. La celula luego se desintegra y ella misma logra la
secreción para liberarlo. Glandulas sebáceas.
Composición química del producto:
Serosas: acinos serosos, proteínas (glucoproteínas). El núcleo es esférico
y central, entre el núcleo y la membrana basal (región teñida basófilo,
hematoxilina) la región basófila, se encuentra acumulado el retículo
plasmático rugoso de la célula. En la región apical hay granos eosinófilos,
generan sustancias liquidas rica en proteínas.
Mucosas: acinos mucosos. Nucleo elíptico apretado contra la membrana
basal, la región basófila se encuentra reducida y la mayoría de las células
en la porción apical se ven de aspecto espumoso porque están las
vesículas que contienen mucina. Región teñida con PAS.
Mixtas: proteínas y mucus en distinto sector del acino. Alternancia de
células mucosas y serosas.
Glándulas submandibulares: acinos mixtos, con medialuna serosa.
Glándulas sublinguales: acinos mucosos.
Glandulas parótidas: acinos serosos.
Glándulas multicelulares de secreción endócrina: no presentan conductos
excretores, el producto de secreción es vertido directamente a la sangre
se clasifican según:
* la disposición de las células
La naturaleza química del producto de secreción.
GLANDULAS MIXTAS: porción endócrina y otra exócrinas = pancreas = islotes
pancreáticos, endocrinas. Los acinos pancreáticos son la porción exocrina.
Ambos tipos derivan de epitelios de revestimiento, en cierto sector este epitelio
prolifera y entra al conjuntivo adyacente.
Exocrinas: se diferencia un adenómero y se mantiene un conducto excretor, el
producto generado en el adenómero se libera por el conducto excretor.
Endócrinas: el contacto con el adenómero y la superficie de donde se generó
ese adenómero se pierde, por lo tanto se rodean estas porciones secretoras
con capilares muy vascularizados, el producto que se genera va a vertirse en la
sangre.
Renovación y regeneración epitelial:
Se basa en la existencia de células que presentan capacidad para auto-
renovarse, una distribución restringida en el epitelio (stem cells o células
madre).
La celula madre se divide, una de sus células hijas tiene la capacidad para
auto renovarse y la otra se diferencia de forma terminal con el fenotipo
característico del epitelio que sea.
A partir de esa célula diferenciada se van a generar muchas más
(amplificación) células diferenciadas terminales. Epitelio estratificado plano con
capa córnea (queratinizado). En este epitelio algunas de estas células que
forman el estrato basal o germinativo, son células madres. Estas células hijas
van a pasar por el estrato hacia el más superficial (proceso de diferenciación
terminal) donde allí al desintegrarse formarán parte de la escama
queratinizada. El transito es de aprox. 28 días.
En el epitelio simple del
intestino delgado, las
células madre están en
la base de estas
glándulas. Las células
hijas diferenciadas van
a ascender y pueden
dividirse y dar origen a
las células absortivas,
caliciformes y las
enteroendócrinas. En
cambio las células que
descienden, se
diferencian a las células
de Paneth.
Histología 2.docx
browser_emoji Estamos procesando este archivo...
browser_emoji Lamentablemente la previsualización de este archivo no está disponible. De todas maneras puedes descargarlo y ver si te es útil.
Descargar
. . . . .