
CÁTEDRA "B" DE CITOLOGÍA, HISTOLOGÍA Y EMBRIOLOGÍA – F.C.M. – U.N.L.P.
Tejido conectivo laxo:
adherido, profundamente
a: fascias o al peritoneo.
- haces de fibras de colágeno: paralelas a la superficie cutánea.
- adipocitos: su número varía según el sexo y el estado nutricional.
Queratinocitos: es la población dominante y ya fueron descriptos en los diferentes estratos.
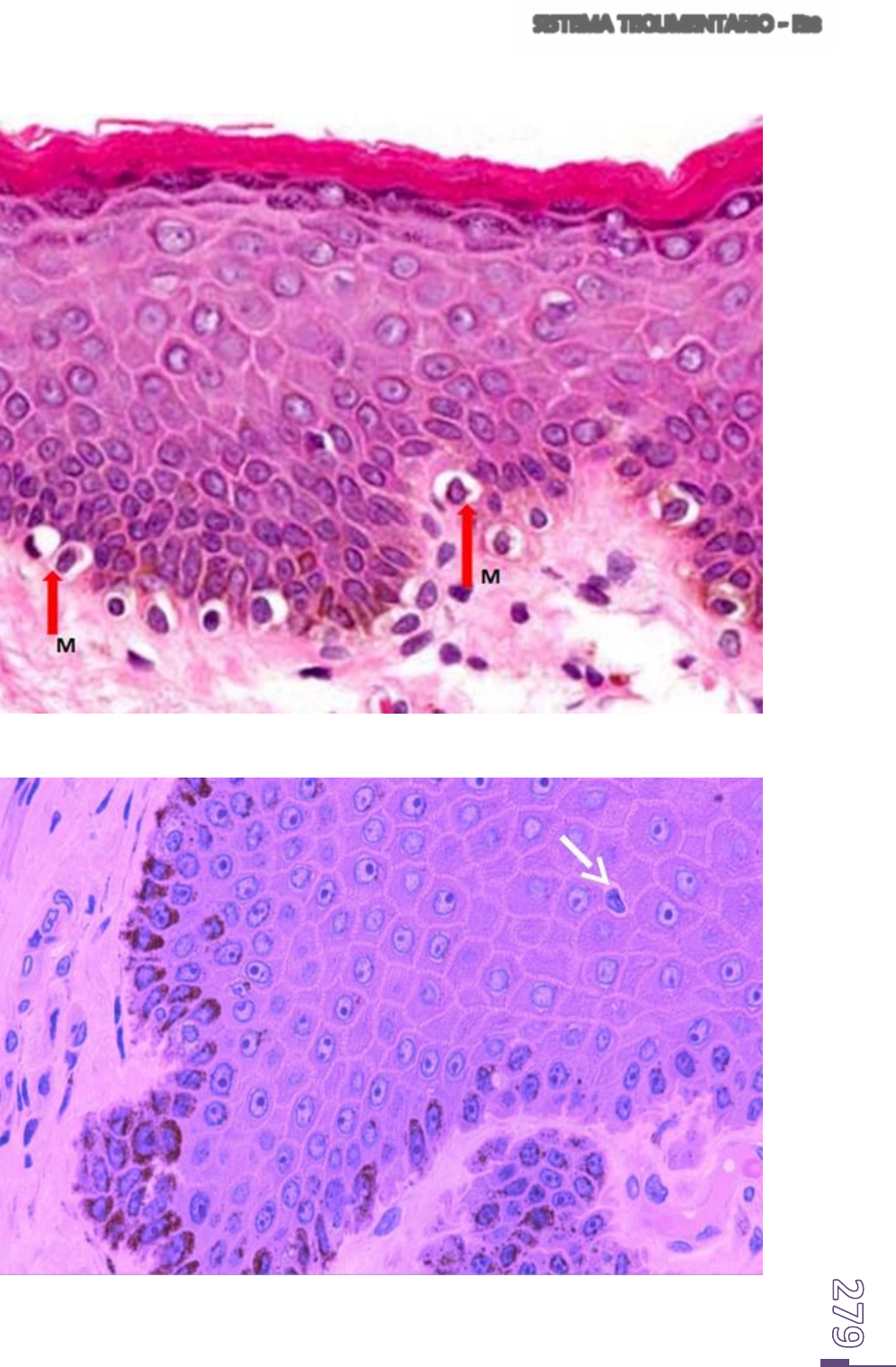
Células de Langerhans: representan el 2 a 8% de la población celular total, aproximadamente.
Tienen aspecto estrellado o dendrítico debido a sus prolongaciones citoplasmáticas. Con la técnica
de hematoxilina y eosina, se observa un citoplasma pálido y un núcleo muy teñido.
Se localizan en el estrato espinoso y ocasionalmente en la Dermis. Son células presentadoras de
antígeno y cuentan con receptores de membrana para unirse al filamento FC de las Ig (G y A) y al
C3 del complemento. Por lo tanto, participan de la respuesta inmune. Pueden identificarse por
técnicas de inmunohistiquímica.
Gránulos de Birbeck o vermiformes: su presencia, en el citoplasma
permite identificar a estas células. Tienen aspecto estriado transversal:
podrían representar la incorporación por endocitosis de algún
antígeno.
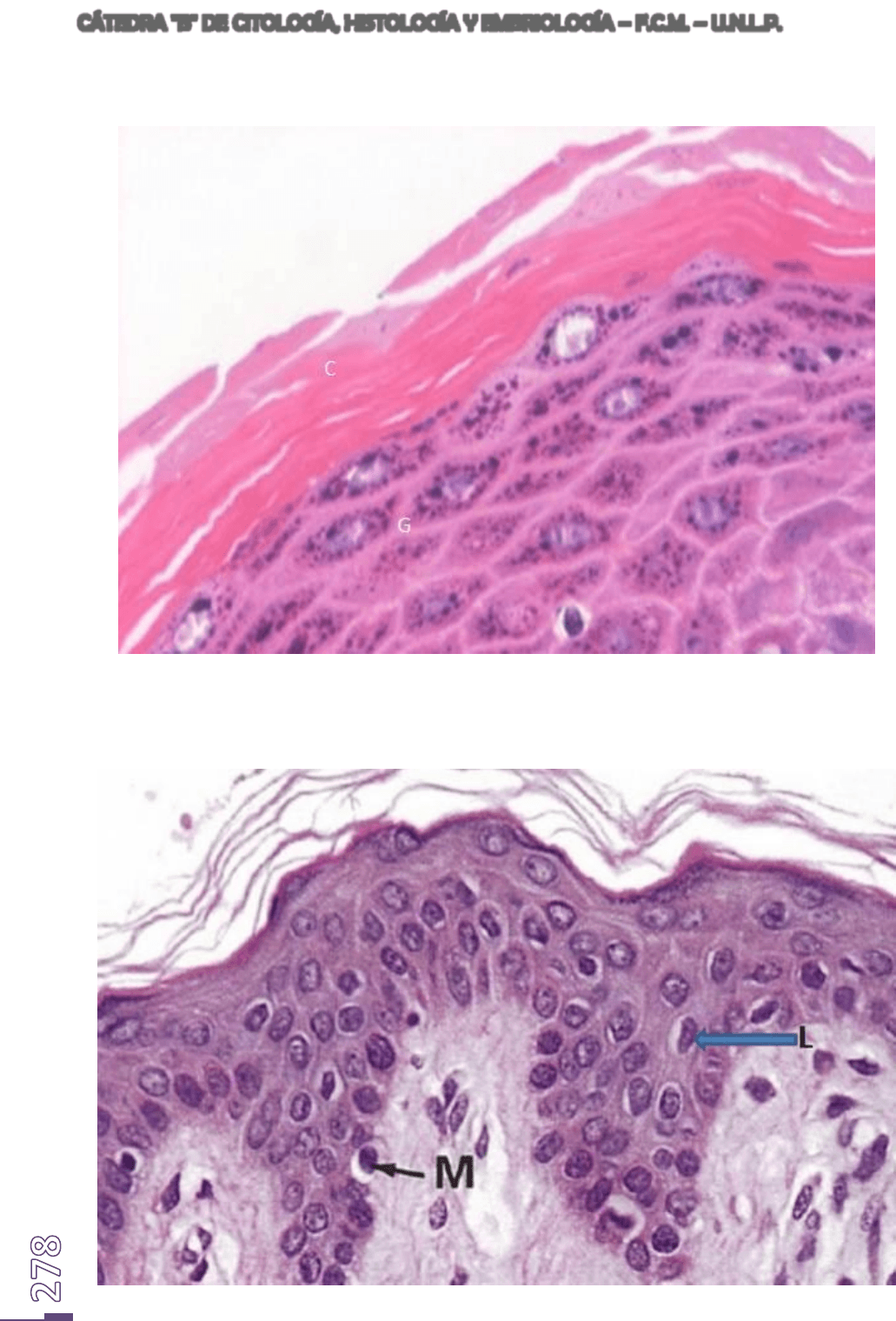
Célula de Merkel: aisladas o en pequeños grupos se localizan en el estrato basal (especialmente en
la piel de los pulpejos)
Célula de Merkel + aferente de nervio mielínico (terminal) = Complejo de Merkel/Neurita
Son mecanorreceptores de adaptación lenta; tienen una estrecha relación con los queratinocitos,
emitiendo prolongaciones entre ellos. Su citoplasma contiene filamentos de citoqueratina: K8, K18
y K19.
Melanocitos: se localizan en el estrato basal (Epidermis) y en la dermis papilar. Tienen numerosas
prolongaciones citoplasmáticas entre los queratinocitos circundantes. Presentan gránulos
conteniendo el pigmento melanina (melanosomas). Los melanocitos sintetizan melanina debido a
que cuentan con la enzima tirosinasa y la transfieren (secreción citocrina) a los queratinocitos.
Relación Melanocitos/Queratinocitos:
1/4 zonas expuestas (cara, cuello)
1/10 zonas menos expuestas (brazos, muslos)
Unidad melánica epidérmica: un melanocito y los queratinocitos con los que contacta.
En las diferentes razas el número de melanocitos es prácticamente igual y las diferencias de color
(racial) se atribuyen a diferentes cantidades del pigmento melanina producido y transferido a los
queratinocitos.
Cuadro descriptivo de la epidermis (en zonas de piel gruesa), de la dermis y la hipodermis.
PIEL (HE-200)