
CÁTEDRA "B" DE CITOLOGÍA, HISTOLOGÍA Y EMBRIOLOGÍA – F.C.M. – U.N.L.P.
Autor Responsable: Prof. Marhta VIDAL - Diseño y Edición Pablo DEGREGORI
® Cátedra “B” de Citología, Histología y Embriología. Facultad de Ciencias Médicas. U.N.L.P. 2017. Reserva de derechos. Quedan reservados todos los
derechos de propiedad intelectual, diseños e imágenes contenidas en estas páginas. Queda totalmente prohibida cualquier copia o reproducción total o
parcial de dicha edición por cualquier medio del contenido sin la autorización previa, expresa y por escrito de la Cátedra.
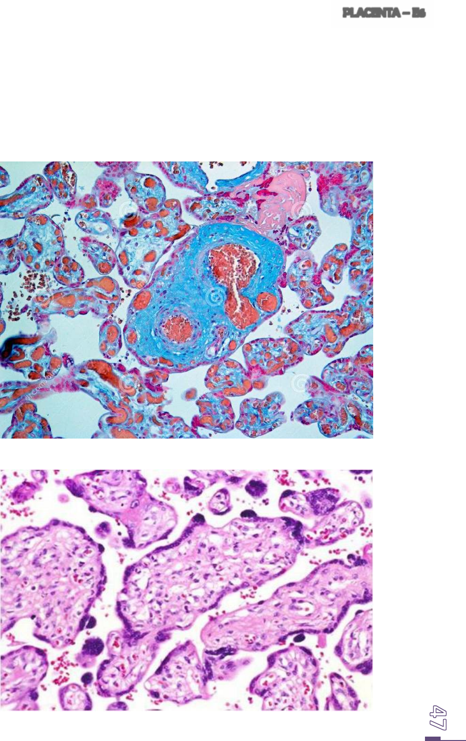
La placenta es un órgano fundamental en el embarazo, de importancia vital para el crecimiento y protección
del feto. Comienza a formarse en el mismo momento de la implantación del embrión, en la pared uterina
(aproximadamente una semana después de la fecundación). Se desarrolla a partir de dos componentes o tejidos
extraembrionarios: 1. el corion frondoso, anexo embrionario originado a partir del Trofoblasto y 2. la decidua
basal, endometrio materno con vasos sanguíneos y glándulas; componentes que al transitar por diferentes
etapas evolutivas representarán, en la placenta madura (de término): la placa coriónica (cara fetal) y la
placa decidual (cara materna), respectivamente. Esta estrecha relación materno-fetal permite el intercambio
de: oxígeno, sustancias nutritivas y producción de hormonas. La placenta es un órgano endocrino.
La placenta vive aproximadamente cuarenta semanas, con más de cuarenta semanas envejece (placenta
vieja) y deja de cumplir sus funciones nutritivas. Cuando acaba la gestación tiene un espesor aproximado de
1,5 a 3 cm, con 15 a 20 cm de diámetro y un peso de 450 a 600 grs. (sin contar con el cordón umbilical al cual
se encuentra unida).
Producido el nacimiento, la última fase del parto lo constituye la expulsión de la placenta, lo cual se conoce
como “alumbramiento”.