
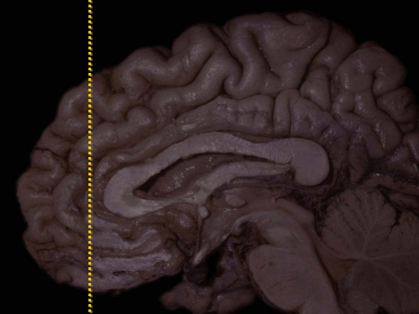
Tronco del cuerpo calloso
Tronco del cuerpo calloso
Rodilla del cuerpo calloso
Rodilla del cuerpo calloso
Columna del fórnix
Columna del fórnix
Comisura anterior
Comisura anterior
Foramen interventricular
Foramen interventricular
Infundíbulo
Infundíbulo
Habénula
Habénula
Pico del cuerpo calloso
Pico del cuerpo calloso
Acueducto del mesencéfalo
Acueducto del mesencéfalo
Estría medular del tálamo
Estría medular del tálamo
Adhesión intertalámica
Adhesión intertalámica
Lámina terminal
Lámina terminal
Quiasma óptico
Quiasma óptico
Tubérculo mamilar
Tubérculo mamilar
Comisura posterior
Comisura posterior
Glándula pineal
Glándula pineal
Rodete del cuerpo calloso
Rodete del cuerpo calloso
Calota mesencefálica
Calota mesencefálica
Túber cinereum
Túber cinereum